Hybrid Case Study:
Full Smile Makeover with Implants, Crowns, and Veneers
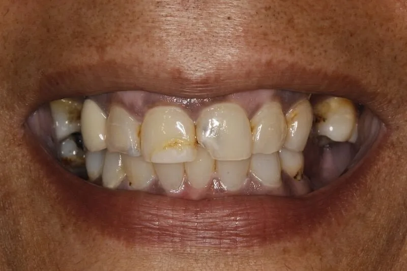
The Challenge
This patient came to us missing several teeth, particularly in the molar area. She wanted to regain the ability to chew comfortably and improve her smile, as her remaining teeth were broken and heavily stained.

The Solution
After a CT scan, aesthetic photographs, clinical examination, and full medical and dental history, we determined she was an excellent candidate for dental implants to replace her missing teeth.
Additionally, we recommended a combination of crowns and veneers to enhance the overall aesthetics of her smile.
First Visit
We created a digital mock-up to preview her final smile design and determine the ideal implant placement for a functional bite.
After testing and approval from the patient, we proceeded with implant surgery to replace the missing teeth. Temporary partial dentures were provided for use during the six-month healing period.
Second Visit
Once the implants had healed, we exposed them and prepared the adjacent teeth for crowns and veneers.
Final impressions were taken for both the implants and the prepared teeth, allowing us to plan all restorations together for optimal aesthetics and function.
Temporary restorations were placed, and plastic prototypes were tested to fine-tune the bite and smile design.
The challenge in this case was ensuring the implant-supported teeth looked identical to the veneered natural teeth. Our master lab achieved this through meticulous hand-layering of porcelain

The Result
After approval, our skilled technicians fabricated the final zirconia restorations, which were delivered within days. Bite adjustments, final X-rays, and photographs were completed at her follow-up appointment.
Today, the patient reports being extremely happy—she has regained full chewing ability and proudly smiles again with confidence.




