
We Make
People Smile
What are our patients saying?
See Real Smiles
and Hear Real Stories
Veneers
Hybrid
All-On 4/6
Full-Mouth

Veneers
Before
Natural Aesthetics & Bite Protection:
Replacing Dull Porcelain with High-Characterization Zirconia

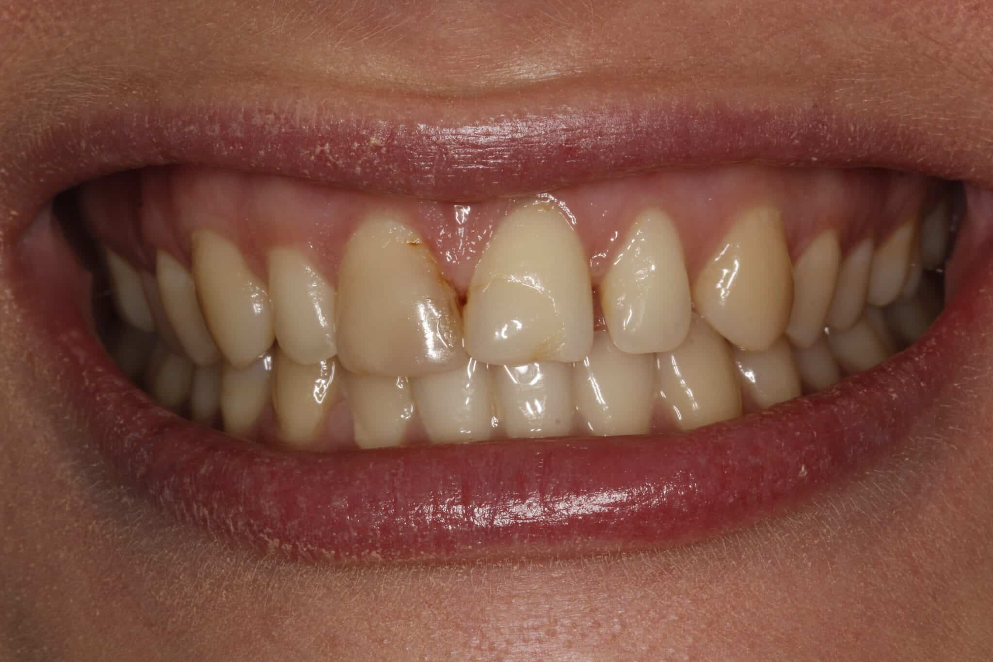
Veneers
Before
Bridal Smile Perfection Case Study:
Correcting Asymmetry and Diastemas with Zirconia Veneers

Veneers
Before
Beyond the “Social Six” Case Study:
Expanding the Smile with 10 Porcelain Veneers

Veneers
Before
The Wedding Smile Case Study:
A Minimally Invasive Transformation







