All-on-4 Case Study:
Permanent Restoration for a Younger Patient
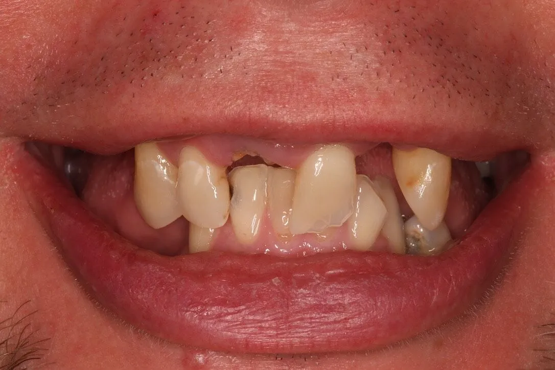
The Challenge
This patient came to us at a very young age after losing most of his teeth. His main goals were to restore his smile, regain function, and improve his confidence.

The Solution
Following a complete oral examination, CT scan, aesthetic photographs, and a digital mock-up, we recommended extracting the remaining teeth and placing four dental implants per arch to support full-arch prosthetics after a six-month healing period.
First Visit
We extracted the remaining teeth, leveled the bone structure, and placed four implants per arch. Due to limited bone mass in the posterior areas, we positioned two vertical implants in the front and two angled implants at the site of the second premolars. Temporary full dentures were delivered for use during the healing process.
Second Visit
After six months, we performed a minor connection surgery to expose the implants and took final digital impressions. We proceeded with plastic try-ins to fine-tune both the bite and aesthetics. Over two consecutive days, adjustments were made until both the patient and our team were fully satisfied with the design.

The Result
Within five days, our lab delivered the final zirconia All-on-4 prostheses. On delivery day, we confirmed the fit with X-rays, performed precise bite adjustments, and provided a protective nightguard. The next day, after real-life bite testing, only minimal refinements were needed.




